
Best Hip Replacement Surgery Hospital in Delhi, India ditodelhi.com
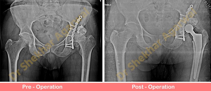
DITO is offering Best Hip Replacement Surgery in Delhi Affordable Cost. They provide ultimate goal of hip replacement surgery is pain relief and improved function.
Report StoryDITO is offering Best Hip Replacement Surgery in Delhi Affordable Cost. They provide ultimate goal of hip replacement surgery is pain relief and improved function.
Report Story
Leave Your Comment